13 октября 2023 15:34 Девочки по кидайте идей пожалуйста... Чем можно развлечь малыша 1,11 мес (3 недели)лёжа ...вставать нельзя , садиться нельзя . Планшет смотрит , постоянно не может надоедает ,машинки есть но над собой держать тяжеловато и неудобно . Что ещё можно … Читать далее
12 октября 2023 18:03 +1 Вот так ,строишь планы ,бегаешь как белка в колесе ,покупаешь билеты отдыхать... А потом бац!и перелом бедра у ребенка,на ровном месте ,просто шел и упал ,все! Операция прошла быстро и вроде хорошо Теперь никаких планов ....даже никаких сроков . Лежим … Читать далее
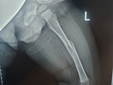
11 октября 2023 21:09 Сделали операцию......??? Три недели теперь так лежать нам с ним Ни шагу вправо или влево ,всегда подвешена нога .... Потом после сращивания ещё гипс 3 недели Девочки.... это кошмар. Спасибо ГВ нашему ,хоть это сейчас ему чуть помогает (((((
11 октября 2023 17:31 Девочки это просто Пииииииз@деееееец К предыдущему посту Писать не могу много ,едем в скорой помощи в детскую травму ,у нас на районе нет детской хирургии травматалогии.... В общем приехала я в травму у нас ,а у малого Перелом бедра мать его … Читать далее
11 октября 2023 15:00 Есть тут такие у кого у малышей был Вывих или перелом ??? Бежал только что мой маленький дома и подскользнулся на ровном месте и нога ушла в бок ,плакал долго и держался за колено,пока не уснул на руках ???я теперь лежу с ним и переживаю....вдруг это … Читать далее
11 октября 2023 09:59 Какие на ваше мнение самые важные прививки !?? От Каких болезней необходимо однозначно прививать ? И какие лучше переносятся если рассматривать российские вакцины или зарубежные ?
13 августа 2023 21:13 У кого были мигрени с Аурой ?вопрос вам Недавно у меня впервые в жизни случилось такое (мне 29 лет). Я честно сказать в шоке что такое существует вообще (узнала что у меня была мигрень с аурой уже после этого ) Вспоминаю до сих пор страшно. Длилось … Читать далее
13 августа 2023 15:33 Девочки как вы считаете цены выросли ? На продукты в основном интересно... Последнее время есть ощущение что все подорожало,у меня одной так ? Как то ,одна и та же сумма ,а покупаешь меньше что ли ?
11 августа 2023 16:18 +1 У вас домашние животные бывают творят что то смешное ? Ой у нас крысы ,два мальчика Зефир и Юпик Им по 3 месяца...такие придурошные. В клетке у них столько лежаков всяких,гамаков ,полок ,и всего. . но они выбрали "самое удобное место "для сна ??? Позы … Читать далее
9 августа 2023 10:42 Первый раз в жизни у меня случился приступ мигрени . Сказать что это ад... ничего не сказать. Началось все с ряби в глазу,а потом головная боль в одной половине головы очень сильная , светобоязнь,шумы и вообще всего ...+тошнота и рвота . Девочки это … Читать далее