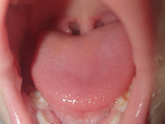
Неделю болит горло.
Без других признаков.
Была у врача. Назначил прыскать в горло. Промывать нос и тд.
Ничего не помогает. Температуры нет.
Насморка тоже
17 июня 2022 17:35
Аллергия на цветение тополя. Раньше никогда не было. 30 лет не было а тут блин. Ничего не спасает ни супрастип ничего. Помогите че делать.
У врача были, анализы сдала. Кроме фраз промыть нос, да всякие супрастин и другие подобные не помогают