Мой новогодний подарок ????
Девочки кто бы знал… через что мы прошли за эти три месяца.
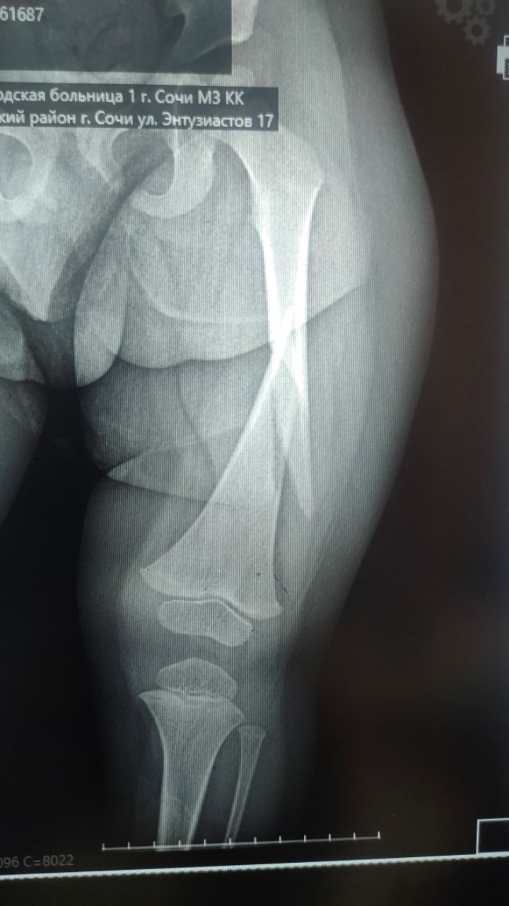
Тот день, роковой… когда ребенок просто шел к своим игрушкам и упал неудачно сломав бедренную кость разделила жизнь на до и после.
Как я стала всё ценить, кто бы знал ?
Сейчас все как то по другому у меня в голове стало .
Божечки и словами не описать что было за эти три месяца.
От момента падения и по сегодняшний день (сегодня сняли коксидную повязку!!!)
Была и больница и операция, и три недели прикованные к больничной койке на штыре...
И миллион психических проблем от этого.
Не представляю как я не сошла с ума .
Как не странно пережила за это время конечно больше всего я и малыш, на мою долю выпало всё (но муж почему то сейчас в депрессии)не я?
Всё на нашу… долю....
Фотки в комментариях, вдруг кто то не захочет смотреть на это ?
Сегодня сняли, пока не ходит естественно, есть немного пролежней внизу, нога вся в чишуе.
Сказал врач в теплой ванне размокать, мы с великим удовольствием будем это делать, ведь три месяца не мылся ребенок ??
Это по истине лучший мой новогодний подарок ???ни один бриллиант не сравниться с тем что твой ребенок может встать на ноги !!!!!!
Фото от и до…
Фото с больницы и снимка до операции и скелетного вытяжения и гипса и после






????
Вы с малышом огромные молодцы! Такой путь прошли… скорейшего выздоровления Солнышку!
Спасибо большое ?
Малыш❤ Дай Бог скорее восстановиться.
Сил всей семье.
Спасибо большое ?
Светочка, скорейшего восстановления малышу! А тебе восстановление нервной системы после такого случая ?❤️❤️❤️
Спасибо большое… да уж, это точно
Он такой рыженький на самом деле или на фото цвет получился?
Обалденные волосы ?
Ярко рыжий с рождения?