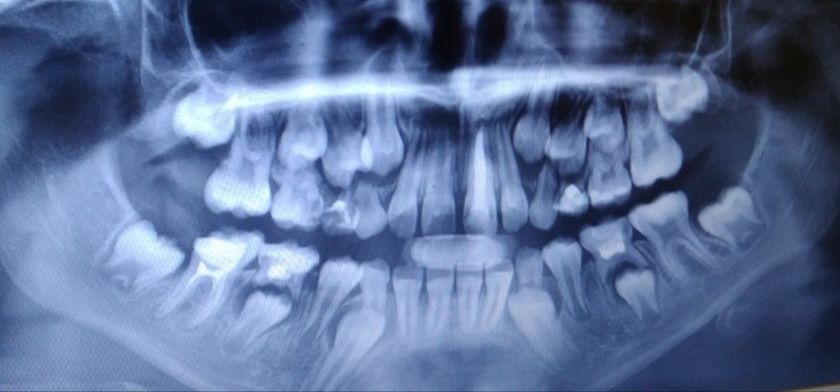
У старшей вчера заболел зуб(5ка вверху) рядом с удаленным на прошлой неделе молочным(4ка). Сегодня дочь с папой ездили в клинику. Им сказали надо удалять. Сам зуб уже леченный, но с удалением соседнего оголился нерв. Лечить его не берут (не знаю всех нюансов), записали на завтра удалять. Я расстроена до слез. Там ещё не лезет постоянный, переживаю чем она жевать будет(внизу и вверху удалено по зубу). С другой стороны внизу нет одного. Беда???искать другого врача или довериться и удалить? Бедная моя девочка. Фото до удаления зубов.

ну если нерв оголился мне кажется тут уже ничего не сделать, но я не стоматолог) а так удалили бы в таком возрасте
жутковато выглядит… думаю, все-таки лучше удалить, чем флюс(
Сестре как-то сразу 6 зубов удалили молочных жевательных… Но что делать, надо, не расстраивайтесь, ведь так будет лучше, меньше будет болеть
Я не вижу смысла лечить в этой ситуации, ей уже 9, скоро всё равно полезет коренной.Нормально она есть будет, не паникуй.Своей бы спокойно удалила если так
Получится две дыры рядом и внизу под ними дыра☹️
Ни чего страшного, ктому же не надолго
Как много зубов лезет сразу!!!!
Ага, и сами не выпадают, приходится драть☹️
Может лучше сходить к другому врачу?
Может. Ещё найти надо к кому толковому сходить
Могу в лс скинуть стоматолога, на июльских днях в больнице работает. Позвоните, узнайте, возьмётся она или нет)
Спасибо, мы записались уже на субботу к другому. Зуб пока не болит.
Молочные зубы лечат примерно до 8 лет, старше — удаляют.
Нам не лечили сразу 3 зуба удалили. Нам 4.5
От врача зависит и от состояния зуба
Бедняжка((
В Динозубрик сходите, может смогут спасти, удвлить всегда успеете
Мы туда и ходим(((
Тогда наверное надо удалять, чтобы не болело(