Узи крио, плохой рост хгч и моя победа
12 июля 2024 18:23
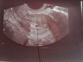
Вот я наконец-то сходила на узи ииии...
Нашли моего малыша! ????
Как я рада, не могу поверить, моя бусинка показалась??☺
Сердечко еще рано, но врач сказал движения есть, через недельку повторить узи. Слава богу ???
Никаких отклонений, … Читать далее
Нашли моего малыша! ????
Как я рада, не могу поверить, моя бусинка показалась??☺
Сердечко еще рано, но врач сказал движения есть, через недельку повторить узи. Слава богу ???
Никаких отклонений, … Читать далее