За последнюю неделю не было дня чтобы не было того, что сейчас опишу. Стоит ли идти к врачу или это кризис очередной?
Сыну 1.2 года и он целый день орет, когда берешь его на руки иногда откидывается назад и еле успеваешь его словить, может начать плакать … Читать далее
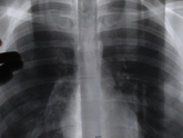
Брат у меня кашляет, по всем симптомам коклюш. Живет в маленьком городе, половина врачей «алкаши» и вообще не в своем уме, ничего не нашли у него якобы. Вот такой рентген легких у него, если кто то сталкивался с коклюшем скажите, есть что то на снимке … Читать далее
Завтра уже 2 день задержки, цикл у меня регулярный был после родов, все день в день приходило. Понимаю что причины задержки разные бывают, но мы планируем беременность, делала за 2 дня до задержки был пустой (слабочувствительный) тест. Завтра же уже … Читать далее
Кровать
17 января 2024 22:13
Сын съел всю кровать, оторвал резинки и там клей и опилки. Покупать ли типичную кровать от 0 до 3 или уже можно купить что то подобное? Готов ли ребенок в таком возрасте к новой кровати?
Планируем беременность уже как 4 месяца. Не тестоманю и признаков не ищу обычно, просто мес. приходят и потом все заново.
Но тут такая интересная картина в этом цикле? обычно чувствую овуляцию отчетливо и потом до мес. периодически тяжел живот и поясницу, … Читать далее