2 марта 2020 15:42
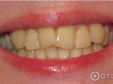
Девочки, кто делал реставрацию, если зубы такого плана как на фото? (Фото не мое, из интернета) История с моими зубами долгая и плачевная((( всю жизнь стесняюсь улыбаться, в институте решилась на брекеты, относила полгода, сказали пора снимать(быстро … Читать далее