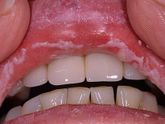
Что это может быть...? Примерно так как на фото. Завтра к врачу пойдём, а до этого времени может чем то протирать...?
Галерея
Смотреть все фотографии
Защита от насекомых
21 мая 2019 23:07
Девочки, делитесь... Как защищаете малыша от насекомых, особенно от комаров. Собираемся выехать на природу, боюсь что б не покусали. Видела браслеты есть, но они только с 2х лет.... А что делать до 2х?
Омлет
18 мая 2019 09:35
С какого возраста начали делать деткам? Поделитесь рецептами??
Ротовирус
25 апреля 2019 10:20
Как лечили? Чем кормили ребёнка? Как быстро прошло?