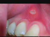
Девочки! Зайдите кто знаком с этим. Десна болела болела опухла и состояние сейчас как на фото.сходила к стоматологу, она сказала что это афтозный стоматит. А не из-за зуба. Так вот. Кто чем лечились? Мне назначили только холисал.
Опухла десна, над зубом, даже надавливаешшь над губой ито больно. Всё покраснело. И как будто похоже на прыщик в десне. Сейчас идти к врачу не могу. Так как старшая дочка болит. Попробую завтра. Хотелось бы узнать что это такое? Может у кого так было … Читать далее
Старшая дочка совсем неуправляемая, ей скоро пять. Вообщем она всего добивается слезами, истериками, если что то не так она может всех обозвать, что мы не хорошие и она нас не любит. Мои родственники говорят что это я её избаловала Когда она была маленькая, … Читать далее
У меня дочка когда была маленькая 1,5 -2 года она очень любила рисовать, ну конечно разные коляки, но иногда уже получалось хорошо, а сейчас ей скоро пять, и у неё пропал почему то интерес к рисованию и раскрашиванию. Она лучше будет вырезать, клеить, … Читать далее
Девочки, недавно писала пост о том что месяц болел сильно правый бок, и я грешила на апендицит, сделала УЗИ а оказалось что в правой почке камни. И сейчас как поделаю что-нибудь так болит. У кого так было? Потому что странно, камни то в почках а болит … Читать далее
У нас вот температура четыре дня была до 39 почти, сегодня спала до 37.5 и какие то пятнышко пошли по телу, прям как высыпания, похоже на потничку. Так вот читаю что это может быть розеола. У кого-нибудь было так? Или пятна должны быть большие??
Знаете, вот часто слышу, читаю , о том, что нельзя жаловаться, или говорить о плохом, нужно всегда говорить, у меня всё хорошо! Деньги есть! Здоровье сть! И мол, всё к вам потянется только хорошее! Ну не поверите, как только я говорю всё хорошо, всего … Читать далее
Хочется послушать реальные отзывв! Вот я слышала что морской, горный воздух укрепляет иммунитет, у нас две дочки, 4 года и 9 месяцев, старшая носит с садика всё, болеют каждый месяц, сейчас вот даже не водила ито заболели, мы гуляем, витамины пьем, больше … Читать далее
Девочки, чем вы пользуетесь чтобы подтянуть кожу на животе? Вес ушел, даже слишком, а кожа дряблая какая то. Чем вы пользуетесь? Скрабы? Крем может какой? Именно восстановить упругость кожи.
К меня последнее время, уже месяца три точно, сводит ногу, точнее ягодицу, вот например когда укол делают болючий потом всю ногу сводит, и это так же, получается как судорогой, я наступить не могу на неё даже, ходить тем более, а бывает так именно когда … Читать далее