Последние мес.12.05, 10.06 хгч 70, 15.06 хгч 1294, сегодня на узи увидели, что в матке. Прирост нормальный или большой? Всю жизнь мечтаю о двойне ?

Последние мес.12.05, 10.06 хгч 70, 15.06 хгч 1294, сегодня на узи увидели, что в матке. Прирост нормальный или большой? Всю жизнь мечтаю о двойне ?
У вас поздняя овуляция? У меня тоже цикл начался 12 мая, у нас с вами один срок. Но я вчера 16.06 сдала хгч и мне пришёл 14986. До этого сдавала 11.06 пришел 1575
А 06.06 пришёл 83
Ну смотрите. У меня 10.06 хгч был -70. Потом 15.06 он уже 1294, то есть прирос нормальный, но по Календарю месячных он мал мне пишут, тоже думала что овуля была 22-23 как пишет Календарь, но я так поняла что она была позже…
у меня после родов это были первые месячные (ещё и шли 10 дней ) и сразу вуаля — беременность ??
А у вас что-то быстро хгч растёт, ну мне кажется)) он удваивается каждые 2 дня, может двойня? ? я вот мечтаю сразу двумя отстреляться)))
Да, у вас поздняя овуляция. У меня была на 14 дц. Сомневаюсь, что двойня) на узи в понедельник. В субботу ещё раз сдам хгч
А зачем уже хгч? У вас хороший рост, ждите узи, там уже сердечко услышите ♥️
У меня выделения коричневые пару капель. Пью транексам и вставляю прогестерон. Сказали наблюдать. Вот я с этим хгч и ношусь. И в прошлом году была зб
Привет, у меня месячные как у вас, все думаю когда на УЗИ пойти. Ваш врач не сказал когда СБ появится???
Сердце от 7… мне сказали приходить через пару недель)
Спасибо, в конец месяца и я схожу на УЗИ.
Мы в отпуск уезжаем, пойду в середине июля повторно, чтоб наверняка))
Удачи )!!
Спасибо ?
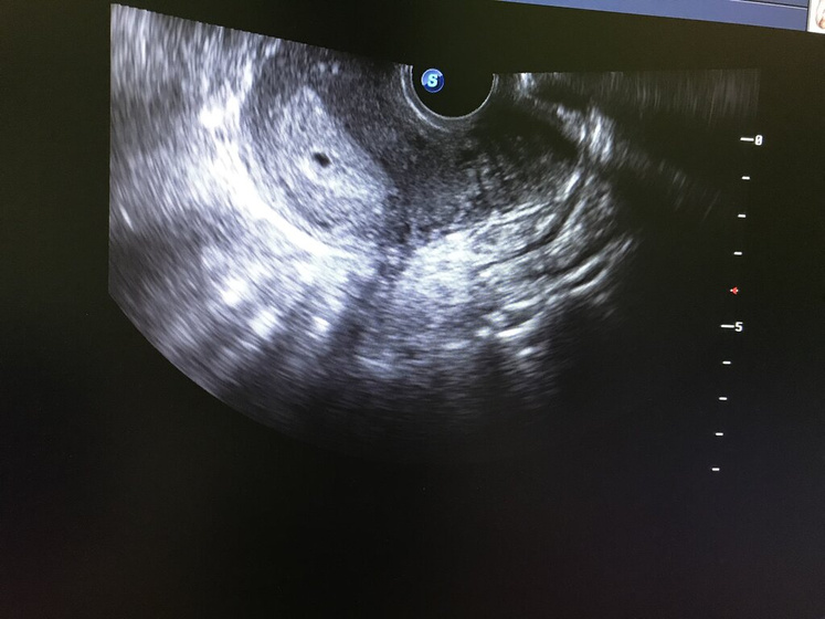
Смотрела и читала в инете, что вот с чёрной точечки потом внутри может один быть эмбрион, а может и два… они на раннем этапе будут как шарики внутри, я тут уже как не увеличивала, даже два увидела ???
Вот типа такого) у меня пока только чёрное видно, а потом уже видны эмбрионы… или эмбрион ?
Ну вообще если считать что каждый день удваивается, то у вас в двойном размере. Должен быть в 2 раза меньше на 15.06
Вот и я про то же ?♀️
Неверная информация у вас. Удваивается каждые 48 часов
Ааа тогда ошибочка, я просто ни разу не сдавала сама, хотя беременна второй раз ?
Ну да,48 ч… но вроде и для 48 часов многовато, нет?
Ого, вы смелая)
?
Да, как раз хгч при многоплодной Б.
То есть есть шанс?)
Конечно.
У врача надо было спрашивать)
Нуу, врач врачом, а тут мамки охо-хо, со стажем ?
? ну понятно