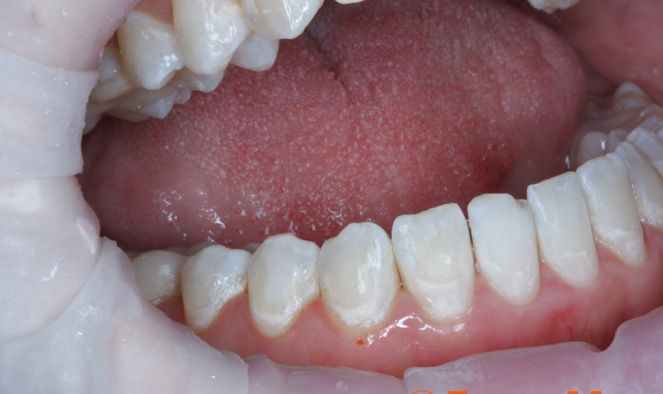
Девочки, у дочки 3 года на нижних зубках белый налет, типо камень может. Как на фото. Или это кариес? Что делать, бежать к стоматологу?

Девочки, у дочки 3 года на нижних зубках белый налет, типо камень может. Как на фото. Или это кариес? Что делать, бежать к стоматологу?
флюороз вроде называется, что-то типа предкариеса
Какие ровные зубки
Срочно бежать к стоматологу.
Кариес вроде черный а не жёлтый!
Бежать, на камень похоже
Это разновидность камня. Он тоже может быть белым